Alpha 冲刺 (1/3)
1.过去完成了哪些任务
后端:完成了 models 的设计和修改;连接数据库(MySQL 5.7)并通过 migration 创建表单。
前端:初步完成了登录注册页面。
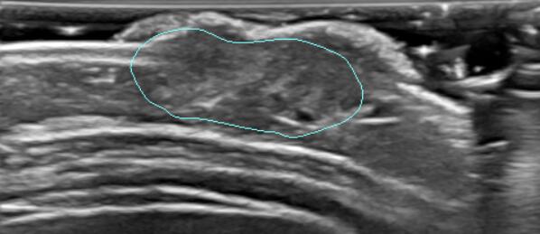
模型:一开始使用 unet++ 进行模型训练,但是效果不是很满意,后面使用使用 deeplabv3+ 模型完成了血管瘤图像的训练,在比赛中取得了 dice=88.6 的成绩,位列第十。


同时完成了相关的接口,在远程服务器上测试观感较好。以下是对一张图片进行的分割预测结果

2.每个人的工作
袁钰林
本周完成的任务:
完成模型的训练,使用 deeplabv3+ 模型比较好的完成了比赛(rank10),并且完成了项目使用此模型的相关接口
下周计划的任务:
测试相关接口,对项目基本功能进行测试,准备部署服务器。如果后期有空余时间,尝试用 transformer 来获取更高的精度。
代码签入&问题:

何琪
本周完成的任务:
配置环境,学习教程,完成用户、商品和订单的模型代码。
下周计划的任务:
完成注册功能的后端代码,生成数据库并测试,设计订单和购物车的后端逻辑,为前端同学提供接口文档。
代码签入&问题:

张震宇
本周完成的任务:
配置环境,连接数据库,完成 user_operation 类,合并其他类后修复因为项目迁移和版本差异出现的错误,使用 migration 创建数据库表单,Xadmin 后台管理相关配置。
下周计划的任务:
完成登录功能的后端代码,编写用户相关数据库数据,并完成对应的数据库文档;使用 Xadmin 进行后台管理,测试其功能;完成首页商品列表展示的后端代码。
代码签入&问题:

李希娟
本周完成的任务:
配置环境,学习教程,初步完成登录注册页面。
下周计划的任务:
继续完善登录注册页面,进行商品页面的编写。
代码签入&问题:
施雪雯
本周完成的任务:
完成环境的部分配置,基本教程的学习
下周计划的任务:
继续完成环境配置,并与其他前端人员共同完善登录注册页面和完成商品页面的编写
代码签入&问题:
3.燃尽图

4.例会照片

5.剩下的任务及遇到的困难
后端:项目迁移和 Django、Python 等版本差异给后端开发带来了一些问题;前后端分离目前做的还不太明确。
前端:还需要完成控制台,商品列表和详情页面的编写
模型:模型训练已经基本完成,如果后续有时间使用 swin-transformer 进行升级
6.收获和疑问
袁钰林
收获一次比赛的经验,顺利的通过了测试并且取得了还不错的分数。总共训练了 1000 个 epochs,但是从 500epochs 后继续训练,提升效果甚微。后面打算用 mobilenet 来做 backbone 看看,结果是否会更好。最近 transformer(attention is all you need)比较火,从 NLP 破界到 CV,在不用传统 CNN 和 RNN 的基础上对于图像的全局感受有了更好的效果。学习的过程中,我也看到了一篇跟 transformer 相关用于医疗图像分割的文章,swin-transformer,打算后期尝试能不能用它达到一个更好的效果。
何琪
收获了后端设计经验。版本冲突给开发带来了很大麻烦。
张震宇
收获了宝贵的改 BUG 经验,熟悉了大部分本项目后端相关版本差异引起的错误及解决方法;学习了使用 Xadmin 管理后台的方法,与常用的用户-管理员两个子系统相比,某些方面上来看更加便捷;学习了使用 migration 自动创建和修改数据库的方法,了解了一些 Django 在后台开发上的一些优势。
李希娟
收获了前端相关的一些知识吧,对前端也有了一定的了解,但是仍不太熟练,还需进一步学习。同时在写代码的过程中,会伴有一系列的报错,软件版本与依赖的版本要相符,不然会产生一系列的报错,浪费很多时间。
施雪雯
了解了部分前端相关知识和环境配置步骤,熟悉了前端编写的基本知识